Zu Inhalt springen

Schwarzer Gießkannenschimmel Aspergillus niger

Schwarzer Gießkannenschimmel

Taxonomische Klassifikation

Reich Pilze (Fungi)
Stamm Ascomycota (Ascomycota)
Klasse Eurotiomycetes (Eurotiomycetes)
Ordnung Eurotiales (Eurotiales)
Familie Aspergillaceae
Gattung Aspergillus
Art Aspergillus niger
Wissenschaftlicher Name: Aspergillus niger Tiegh.
Akzeptierter Name
Mehr auf GBIF.org

Einleitung

*Aspergillus niger*, im Deutschen auch als Schwarzer Gießkannenschimmel bezeichnet, ist ein filamentöser Schlauchpilz aus der Familie der Aspergillaceae, der als Typusart der Sektion *Nigri* gilt.[1] Dieser weltweit verbreitete Saprophyt spielt eine zentrale Rolle in der industriellen Biotechnologie, insbesondere bei der Herstellung von Zitronensäure und Enzymen, tritt jedoch auch als Verderber von Lebensmitteln auf.[1][2] Während er für den Menschen meist harmlos ist, kann er als opportunistischer Erreger Infektionen wie Otomykosen auslösen oder allergische Reaktionen hervorrufen. Aufgrund morphologischer Ähnlichkeiten ist eine Abgrenzung zu verwandten kryptischen Arten wie *Aspergillus welwitschiae* oft nur mittels molekularer Analysen möglich.[1]

Fakten (kompakt)

- Die asexuellen Sporen (Konidien) weisen einen Durchmesser von 3,5 bis 5 μm auf. - Der Pilz gedeiht optimal in nährstoffreichen, sauren Umgebungen, wie etwa Zuckermedien mit einem pH-Wert zwischen 2,5 und 3,5. - Neben der industriell genutzten Zitronensäure sekretiert die Art auch Oxalsäure. - Die kommerzielle Zitronensäureproduktion mittels dieses Schimmelpilzes wurde 1917 von James Currie unter Verwendung von Zuckermedien begründet. - Spezifische Stämme wurden für unterschiedliche Zwecke optimiert: ATCC 1015 dient der Fermentation organischer Säuren, während CBS 513.88 für die Enzymsynthese eingesetzt wird. - In der biotechnologischen Herstellung werden Glucoamylase-Ausbeuten von bis zu 30 g/l erzielt. - Pektinasen, die aus *Aspergillus niger* gewonnen werden, decken 25 % des globalen Marktes für Lebensmittelenzyme ab. - Der Organismus findet Anwendung in der Bioremediation zur Beseitigung von Schwermetallen wie Cadmium und Chrom.[7] - Charles Thom und Kenneth B. Raper festigten 1945 im *Manual of the Aspergilli* die taxonomische Einordnung in die Sektion *Nigri*. - In städtischen Luftproben konnte eine Prävalenz des Pilzes von bis zu 84 % nachgewiesen werden. - Bestimmte Stämme produzieren Mykotoxine wie Fumonisin sowie das nephrotoxische und karzinogene Ochratoxin A. - Neben den häufigeren Otomykosen kann der Erreger in seltenen Fällen auch Nagelinfektionen (Onychomykose) verursachen.[7]

Name & Einordnung

Der wissenschaftliche Name der Art lautet *Aspergillus niger* Tiegh., wobei die heute gültige Kombination im Jahr 1867 durch den französischen Mykologen Lucien Marc Antoine van Tieghem eingeführt wurde. Die historische Erstbeschreibung erfolgte bereits 1809 durch den deutschen Botaniker Johann Heinrich Friedrich Link unter dem Basionym *Mucor niger*, basierend auf der Beobachtung schwarzer Sporen auf faulendem Material. Van Tieghem überführte die Spezies in die Gattung *Aspergillus*, da er die charakteristische Struktur der Konidienträger erkannte, die mikroskopisch an den Kopf einer Gießkanne erinnern.[1] Im deutschsprachigen Raum ist die Art daher unter dem Trivialnamen Schwarzer Gießkannenschimmel bekannt.[1][3] Das Art-Epitheton *niger* (lateinisch für schwarz) verweist auf die dunkelbraune bis schwarze Pigmentierung der Konidien, die durch Melanineinlagerungen entsteht.[1] Taxonomisch wird *A. niger* in die Familie Aspergillaceae eingeordnet und fungiert als Typusart der Sektion *Nigri* (Schwarze Aspergillen) innerhalb des Subgenus *Circumdati*. Eine wesentliche Stabilisierung der Systematik erfolgte 1945 durch Thom und Raper, die in ihrem *Manual of the Aspergilli* die Sektion *Nigri* anhand morphologischer Merkmale wie biseriater Phialiden definierten.[1] Moderne molekularbiologische Methoden deckten jedoch eine hohe genetische Diversität auf, was 2007 zur Ausgliederung kryptischer Arten wie *Aspergillus brasiliensis* (ehemals Stamm ATCC 16404) aus dem *A. niger*-Komplex führte.[1] Aktuelle phylogenetische Analysen grenzen *A. niger* klar von nahen Verwandten wie *A. welwitschiae* ab, bestätigen jedoch seine Position als zentrale Spezies der über 30 Arten umfassenden Sektion.[1]

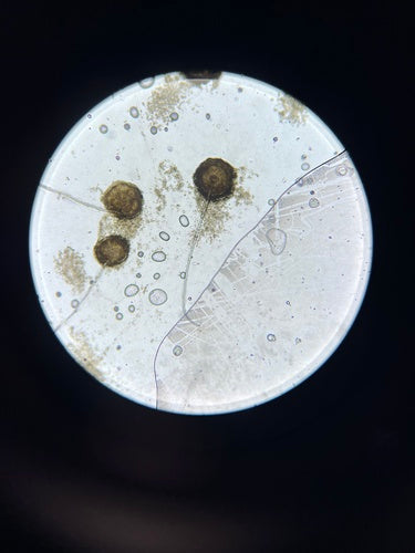
Aussehen & Bestimmungsmerkmale

Auf Standardmedien wie Kartoffel-Dextrose-Agar wachsen die Kolonien schnell und erreichen innerhalb von sieben Tagen bei 25 °C einen Durchmesser von 2 bis 4 cm. Die Oberflächentextur erscheint samtig bis pudrig und ist anfangs weiß oder blassgelb, bevor sie durch die massive Bildung von Konidien eine charakteristische schwarze Färbung annimmt. Die Unterseite der Kolonie (Revers) bleibt meist farblos bis blassgelb, entwickelt gelegentlich einen bräunlichen Stich und weist oft einen weißen Rand auf. Mikroskopisch zeigt der Pilz septierte, hyaline Hyphen mit einer Breite von 3 bis 12 μm, die ein verzweigtes Myzelnetzwerk bilden. Aus diesen Hyphen entspringen aufrechte, 300 bis 800 μm lange Konidiophorenhälse mit glatten, hyalinen Wänden, die zur Spitze hin nachdunkeln können. Diese Träger enden in kugelförmigen Vesikeln mit einem Durchmesser von 30 bis 50 μm. *Aspergillus niger* weist eine biseriate Anordnung auf, bei der Metulae (5–10 μm lang) die Vesikeloberfläche bedecken und flaschenförmige Phialiden (6–10 × 2–3 μm) tragen.[1] Die asexuellen Sporen (Konidien) sind kugelförmig, messen 3,5 bis 5 μm im Durchmesser und bilden lange Ketten, die in der Masse braun bis schwarz erscheinen.[1][2] Ihre Oberfläche ist durch eine echinulate oder stachelige Ornamentierung aufgeraut, wobei in der mehrschichtigen Zellwand eingelagerte Melanine für die dunkle Pigmentierung und UV-Resistenz sorgen.[1] Innerhalb der Sektion *Nigri*, die über 25 Arten der schwarzen Aspergillen umfasst, ist eine rein morphologische Unterscheidung aufgrund der hohen intraspezifischen Variabilität schwierig.[1][3] Obwohl *A. niger* als Typusart der biseriaten Formen gilt, ähnelt sie kryptischen Arten wie *A. welwitschiae* und *A. tubingensis* stark.[1] Eine präzise Abgrenzung zu verwandten Spezies wie *A. carbonarius* erfordert oft molekularbiologische Analysen von Genloci wie Calmodulin (*CaM*) oder β-Tubulin (*BenA*), da sich die mikroskopischen Merkmale stark überlappen.[1]

Bedeutung, Schäden & Prävention

Die Bedeutung von *Aspergillus niger* ist ambivalent: Während er industriell als Nützling für die Produktion von Zitronensäure und Enzymen unverzichtbar ist, gilt er im Lebensmittelbereich und Gesundheitswesen als Schädling und opportunistischer Erreger.[1] Als Post-Harvest-Pathogen verursacht der Pilz die sogenannte "Schwarze Schimmelfäule" an Zwiebeln, Trauben und Zitrusfrüchten, wobei er über Verletzungen in das Gewebe eindringt und weiche Fäulnisstellen mit schwarzem Sporenbelag bildet.[5][4] Dies führt zu erheblichen ökonomischen Verlusten bei gelagerten Agrarprodukten, insbesondere unter feuchtwarmen Bedingungen, die eine schnelle Ausbreitung begünstigen.[5] Medizinisch ist *A. niger* relevant als häufiger Auslöser von Otomykose (Gehörgangsentzündung) sowie allergischer bronchopulmonaler Aspergillose (ABPA) bei Asthmatikern.[2] Einige Stämme produzieren Mykotoxine wie Ochratoxin A und Fumonisine, die nephrotoxisch wirken können, weshalb im industriellen Einsatz strikt auf nicht-toxigene Stämme geachtet wird (GRAS-Status). Ein Befall äußert sich typischerweise durch samtige, zunächst weiße und später tiefschwarze Kolonien auf Substraten oder feuchten Baumaterialien.[1] Präventive Maßnahmen in der Lagerhaltung umfassen die Absenkung der relativen Luftfeuchtigkeit unter 85 % sowie die Vermeidung mechanischer Beschädigungen an Erntegütern. Zur chemischen Bekämpfung im Agrarsektor kommen Fungizide wie Carbendazim oder Mancozeb zum Einsatz, um die Sporenkeimung zu hemmen.[5] In städtischen Müllumladestationen werden zur Desinfektion und Geruchsbindung kombinierte Mittel aus ätherischen Ölen (z. B. Nelke, Teebaum) und chemischen Komponenten wie Imidazoliumchlorid entwickelt. Zum Schutz von Laborpersonal und Umwelt werden bei der Handhabung geschlossene Kultivierungssysteme eingesetzt, die eine Kontamination durch die leicht flüchtigen Sporen verhindern. Industrielles Monitoring erfolgt teilweise über die Messung der Kohlendioxid-Entwicklungsrate (CER), um Stoffwechselaktivitäten präzise zu überwachen.[3] Bei humanen Infektionen erfolgt die Therapie meist mit Antimykotika wie Voriconazol oder bei oberflächlichen Ohrinfektionen durch topische Azole und mechanische Reinigung.[1][2]

Biologie & Lebenszyklus

Aspergillus niger ist ein filamentöser Schlauchpilz (*Ascomycota*), der sich primär asexuell durch die Bildung von Konidien vermehrt.[1] Der Lebenszyklus beginnt mit der Keimung der ruhenden Sporen, die bei 25–30 °C innerhalb von 2–6 Stunden isotrop anschwellen und nach 6–8 Stunden Keimschläuche ausbilden. Es folgt das vegetative Wachstum eines verzweigten Myzels, wobei Mikrokolonien unter optimalen Bedingungen nach 16 Stunden einen Durchmesser von 600–800 μm erreichen. Die Differenzierung der Konidiophoren (Fruchtträger) setzt etwa 20 Stunden nach der Inokulation ein und wird durch Licht sowie Nährstoffsignale gesteuert. Ein einzelner Konidiophor kann über 10.000 uninukleate Sporen produzieren, die in langen Ketten an Phialiden entstehen und durch Melanineinlagerung schwarz gefärbt sind. Obwohl in der Natur kein sexueller Zyklus beobachtet wurde, besitzt der Pilz Gene für Paarungstypen (*MAT1-1*, *MAT1-2*) und zeigt im Labor parasexuelle Rekombination zur genetischen Variation.[2] Der Pilz ist mesophil mit einem Temperaturoptimum zwischen 25 °C und 37 °C, toleriert jedoch eine weite Spanne von 6 °C bis 47 °C.[1] Physiologisch bemerkenswert ist seine extreme pH-Toleranz von 1,4 bis 9,8, wobei er saures Milieu bevorzugt und aktiv durch Säuresekretion schafft.[2] Als xerophiler Organismus wächst er noch bei einer Wasseraktivität (aw-Wert) von 0,77 und übersteht hohe Zuckerkonzentrationen durch die intrazelluläre Anreicherung von Mannitol. Die Ernährung erfolgt saprotroph durch den Abbau von organischem Material wie Lignozellulose und Pektin in Böden, Kompost oder auf verrottenden Pflanzenresten. Zu den bevorzugten Substraten zählen stärke- und zuckerhaltige Medien, Nüsse, Getreide sowie Früchte wie Trauben und Zitrusfrüchte, auf denen er als Schwächeparasit auftritt.[1] In mikrobiellen Gemeinschaften zeigt *A. niger* antagonistisches Verhalten gegenüber Konkurrenten wie *Fusarium verticillioides*, indem er wachstumshemmende Metabolite und Säuren sekretiert.[4] Die Sporen neigen in flüssigen Medien zur Aggregation, was die Bildung von Myzel-Pellets fördert und die Stoffwechselrate beeinflussen kann.[3]

Vorkommen und Aktuelle Sichtungen in Deutschland

  • Bielefeld, Nordrhein-Westfalen, Deutschland

    20.10.2025

  • 20.05.2025

  • Germany

    11.12.2024

  • Germany

    11.12.2024

  • Hilbert-Str

    12.02.2024

Daten: iNaturalist

Vorkommen & Lebensraum

Der Schwarze Gießkannenschimmel (*Aspergillus niger*) weist eine kosmopolitische Verbreitung auf und wurde auf allen Kontinenten in Bodenproben, der Luft sowie auf organischem Material nachgewiesen. Obwohl der Pilz weltweit vorkommt, ist er besonders häufig in tropischen und subtropischen Regionen wie dem indischen Subkontinent, Südostasien und Teilen Afrikas anzutreffen, wo Jahresmitteltemperaturen zwischen 15 und 30 °C sein Wachstum begünstigen. In Europa ist die Art weit verbreitet, wobei sie neben Vorkommen in Südeuropa auch in gemäßigten Klimazonen und urbanen Gebieten etabliert ist. Der primäre natürliche Lebensraum umfasst warme, trockene bis mäßig feuchte Böden mit hohem organischen Gehalt, insbesondere solche mit hohem Ton- und Streuanteil. Als saprophytischer Zersetzer besiedelt der Pilz Waldböden und Komposthaufen, wo er abgestorbenes Pflanzenmaterial wie Laub abbaut und wesentlich zum Nährstoffkreislauf beiträgt.[1] Aufgrund seiner xerophilen Eigenschaften toleriert *A. niger* eine Wasseraktivität bis hinab zu 0,77, was ihm die Besiedlung sehr trockener Substrate wie Nüsse, Getreide und Sämereien ermöglicht.[1] In landwirtschaftlichen Systemen tritt der Pilz häufig als Fäulniserreger an Wirtspflanzen auf, wobei er besonders Weintrauben, Zwiebeln und Zitrusfrüchte befällt.[1][5] Die Infektion dieser Früchte erfolgt oft über mechanische Verletzungen oder natürliche Öffnungen, begünstigt durch warme und feuchte Lagerbedingungen.[5][4] Neben natürlichen Habitaten ist *A. niger* ubiquitär in menschlichen Siedlungsbereichen zu finden, wo er Hausstaub, Lüftungssysteme und feuchte Baumaterialien besiedelt.[1][2] In städtischen Umgebungen kann die Art in bis zu 84 % der Luftproben nachgewiesen werden, was ihre hohe Anpassungsfähigkeit an anthropogene Nischen unterstreicht.[2] Innerhalb seiner Habitate zeigt der Pilz oft eine kompetitive Dominanz gegenüber anderen Mikroorganismen, indem er das Substrat ansäuert und antifungale Sekundärmeabolite abgibt.[4] Modellierungen auf Basis von Beobachtungsdaten deuten darauf hin, dass sich die geeigneten Habitate unter zukünftigen Klimaszenarien verändern könnten.[1]

Saisonalität & Aktivität

Als mesophiler Organismus wird die Aktivität von *Aspergillus niger* primär durch Temperatur und Feuchtigkeit bestimmt, wobei das Wachstumsoptimum zwischen 25 und 37 °C liegt.[1] Der Pilz toleriert jedoch ein weites Temperaturspektrum von 6 bis 47 °C, was ihm eine Anpassung an diverse Umweltbedingungen ermöglicht.[1][2] In natürlichen Habitaten korreliert die höchste metabolische Aktivität mit warmen Bedingungen und einer relativen Luftfeuchtigkeit von 90 bis 100 %.[2] Aufgrund seiner xerophilen Eigenschaften bleibt *A. niger* jedoch auch bei niedriger Wasseraktivität bis 0,77 physiologisch aktiv, wodurch er Trockenperioden auf Substraten wie Nüssen oder Samen überdauern kann.[1] Eine klassische saisonale Diapause oder Überwinterungsstarre ist nicht bekannt; stattdessen erfolgt die Vermehrung kontinuierlich asexuell über Konidien.[2] Unter optimalen Bedingungen bei 25 °C erreichen Kolonien innerhalb von sieben Tagen die volle Sporulation, was eine rasche Generationenfolge ohne jahreszeitliche Unterbrechung erlaubt.[1][2] In der Landwirtschaft zeigt sich dennoch eine faktische Saisonalität, da der Pilz als Post-Harvest-Pathogen vor allem während der Lagerung nach der Ernte auftritt. Infektionen an Früchten wie Trauben oder Zwiebeln eskalieren besonders, wenn Lagertemperaturen zwischen 25 und 35 °C mit einer Luftfeuchtigkeit von über 85 % zusammentreffen.[4] Geografisch ist die Art in tropischen und subtropischen Regionen mit Jahresmitteltemperaturen von 15 bis 30 °C besonders häufig und ganzjährig aktiv.[1] In gemäßigten Klimazonen persistiert *A. niger* ganzjährig in Innenräumen, wo er Hausstaub und feuchte Baumaterialien besiedelt. Ergänzende Daten zum Suchinteresse zeigen Spitzenwerte im November und Dezember, was mit der verstärkten Wahrnehmung von Schimmelproblemen in Innenräumen während der kälteren Jahreszeit korrespondieren dürfte.[1]

Wissenschaftliche Forschung & Patente

CN-113383800-A Chemical Anmeldung

Herstellungsverfahren eines Aspergillus niger Verbundpestizids in staedtischen Muellumladestationen

Honghu Lantian Anhuan Energy Saving Equipment Company Ltd. (2021)

Relevanz: 10/10

Zusammenfassung

Dieses Patent beschreibt ein chemisches Mittel zur gezielten Bekaempfung von Aspergillus niger in Muellstationen. Die Formulierung kombiniert aetherische Oele (Nelke, Beifuss, Teebaum) mit chemischen Komponenten wie Imidazoliumchlorid. Das Mittel wirkt stark fungizid gegen den Schimmelpilz und reduziert gleichzeitig schlechte Gerueche durch Adsorption von Gasmolekuelen. Es ist eine direkte Bekaempfungsmethode gegen diesen Schaedling.

CN-109022623-A Monitoring Unbekannt

Verfahren zur Regulierung der Transferzeit von Aspergillus niger basierend auf dem Online-Parameter CER

University of East China Science & Technology (2018)

Relevanz: 6/10

Zusammenfassung

Die Erfindung beschreibt eine Methode zur Optimierung industrieller Fermentationsprozesse mit Aspergillus niger. Kernidee ist die Nutzung der Kohlendioxid-Entwicklungsrate (CER) als Echtzeit-Parameter, um den optimalen Zeitpunkt fuer den Transfer der Saatkultur zu bestimmen. Dies ermoeglicht eine genaue Ueberwachung des Wachstums und Stoffwechsels des Pilzes. Die Methode fuehrt zu qualitativ hochwertigeren Fermentationsergebnissen.

CN-107384757-A Mechanical Unbekannt

Vorrichtung und Verfahren zur Kultivierung von Aspergillus niger Sporen sowie zur Trennung und Herstellung einer Suspension

Shandong Institute of For Food & Drug Control (2017)

Relevanz: 7/10

Zusammenfassung

Das Patent stellt ein geschlossenes System zur sicheren Kultivierung und Ernte von Aspergillus niger Sporen vor. Die Vorrichtung trennt Myzel und Sporen effizient mittels Filtermembranen und Pumpen. Besonders relevant ist der Sicherheitsaspekt: Das geschlossene System verhindert die Kontamination der Umgebung und schuetzt das Laborpersonal vor den Sporen des Pilzes. Es ermoeglicht die Herstellung hochkonzentrierter Sporensuspensionen.

CN-107815421-B Biological Erteilt

Aspergillus niger Saatkultur und Verfahren zur Herstellung von Zitronensaeure

(2017)

Relevanz: 6/10

Zusammenfassung

Das Patent adressiert das Problem der Sporenaggregation bei der Kultivierung von Aspergillus niger. Durch ein Verfahren, das dispergierte Sporensuspensionen und erneute Dispergierung gekeimter Sporen nutzt, wird die Bildung gleichmaessiger Myzel-Pellets gefoerdert. Dies verbessert die Stoffwechselrate und die Effizienz der Zitronensaeureproduktion. Es bietet Einblicke in das Wachstumsverhalten (Aggregation) des Pilzes.

Quellen & Referenzen

  1. https://www.gbif.org/species/3465658
  2. https://fungalbiolbiotech.biomedcentral.com/articles/10.1186/s40694-018-0054-5
  3. https://patents.google.com/patent/CN113383800A/en
  4. https://www.mdpi.com/2076-0817/13/9/813
  5. https://bsppjournals.onlinelibrary.wiley.com/doi/10.1111/ppa.13358
  6. https://medwinpublishers.com/IJBP/citric-acid-production-by-aspergillus-niger-through-submerged-and-solid-state-fermentation-an-overview.pdf
  7. Literaturzusammenfassung: Aspergillus niger